If you've ever noticed dark spots or uneven coloring on your gums and wondered whether it's normal, you're not alone. While we obsess over teeth whitening and perfect smiles, gum health often flies under the radar - until something looks different and becomes one of those overlooked skin concerns.
Here's what most people don't realize: gum discoloration affects a significant portion of the population, particularly among individuals with darker skin tones. In most cases, these skin concerns are completely harmless. But sometimes, those dark patches can signal skin concerns that deserve medical attention.
This guide will walk you through everything you need to know about gum hyperpigmentation - from understanding what causes those dark spots to exploring your treatment options for these specific skin concerns and knowing when to pick up the phone and call your dentist or doctor.
What Exactly Is Gum Hyperpigmentation?
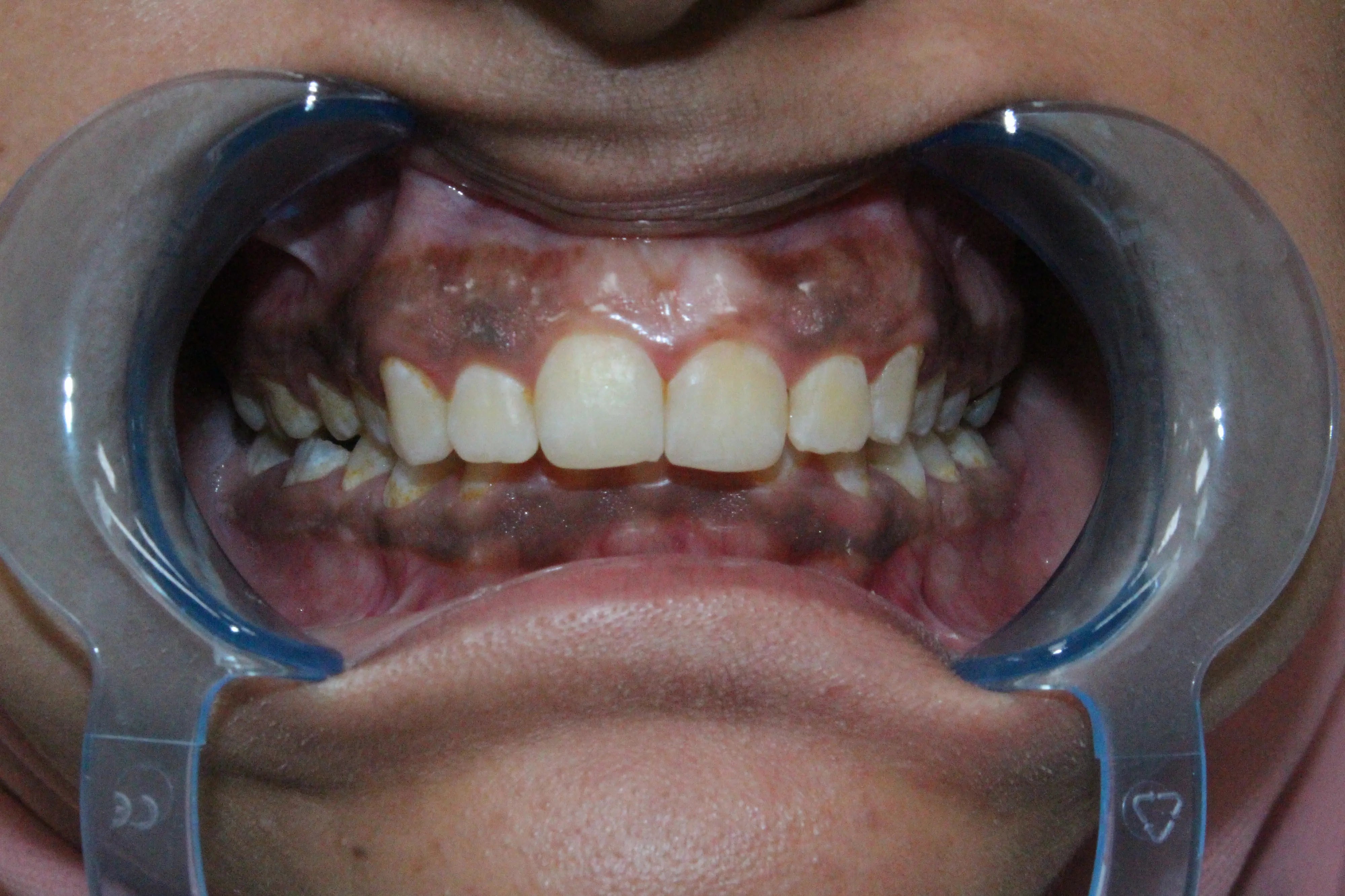
Let's start with the basics. Gum hyperpigmentation - also called gingival hyperpigmentation - is the medical term for darkening of the gum tissues. Think of it as the oral equivalent of having freckles or age spots on your skin.
This darkening typically occurs when there's an increased deposit of melanin (the same pigment that gives your skin and hair their color) in the gum tissue. Sometimes it's caused by changes in blood vessels, medications, or underlying medical conditions.
Both terms - "gum hyperpigmentation" and "gingival hyperpigmentation" - are used interchangeably in dentistry and dermatology, so don't be confused if you hear different professionals using different terminology.
The key takeaway: While gum hyperpigmentation is usually benign and simply a cosmetic concern, it can occasionally indicate systemic health conditions that need attention.
Understanding the Root Causes of Gum Discoloration
Gum hyperpigmentation doesn't have just one cause - it's more like a collection of different factors that can lead to the same visual outcome. Let's break down the most common culprits:
Physiological Pigmentation: Your Natural Melanin at Work
For many people, darker gums are simply part of their natural coloring. This is especially common among individuals with darker skin tones. According to research published in the Journal of Periodontology, melanin pigmentation in gingival tissue is a normal physiological variation and appears more frequently in certain ethnic populations.
Think of it this way: just as people have different skin tones, they also have varying levels of melanin in their gum tissue. There's nothing abnormal about this - it's simply genetic diversity at work.
Lifestyle Factors: When Your Habits Show Up in Your Gums
Smoking is one of the most significant lifestyle contributors to gum discoloration. The chemicals in tobacco stimulate melanin production in the gums, leading to what dentists sometimes call "smoker's melanosis." Studies have shown a clear correlation between smoking and increased gingival pigmentation.
Medications can also be culprits. Certain drugs are notorious for causing pigmentation changes:
- Antimalarial medications (like chloroquine and hydroxychloroquine)
- Minocycline (a tetracycline antibiotic)
- Some chemotherapy drugs
- Certain antipsychotic medications
If you've recently started a new medication and notice your gums darkening, it's worth mentioning to your doctor or dentist.
Medical Conditions: When Gums Tell a Bigger Story
Sometimes, gum discoloration is your body's way of waving a red flag about something happening internally.
Addison's disease (primary adrenal insufficiency) is perhaps the most important condition to be aware of. This disorder causes your adrenal glands to produce insufficient amounts of certain hormones, and one of its hallmark signs is hyperpigmentation - including in the mouth. We'll dive deeper into this connection in the next section.
Peutz-Jeghers syndrome is a rare genetic condition that causes dark spots in the mouth along with polyps in the gastrointestinal tract.
Endocrine disorders beyond Addison's can also affect pigmentation, as hormones play a significant role in melanocyte activity.
Dental Factors: Amalgam Tattoos and Metal Restorations
Ever had a silver filling? Sometimes, tiny particles of dental amalgam (the metal mixture used in silver fillings) can become embedded in your gum tissue during dental procedures. This creates what dentists call an "amalgam tattoo" - a bluish-gray or black spot that's completely harmless but permanent unless removed.
Metal restorations, crowns, and other dental work can occasionally cause localized discoloration where they meet the gum line.
Quick Reference: Common Causes at a Glance
|
Cause |
How It Happens |
What to Know |
|
Physiological Melanin |
Natural genetic variation |
More common in darker skin tones; completely normal |
|
Smoking |
Tobacco chemicals stimulate melanin production |
Documented in clinical research; reversible with cessation |
|
Medications |
Drug-induced pigmentation changes |
Antimalarials, minocycline, and others; review with your doctor |
|
Addison's Disease |
Elevated ACTH stimulates melanocytes |
Often one of the first visible signs; requires medical evaluation |
|
Amalgam Tattoos |
Metal particles embedded during dental work |
Harmless but permanent; dentist can confirm with visual exam |
The Addison's Disease Connection: Why This Matters
Here's something that might surprise you: sometimes the first clue that someone has Addison's disease isn't fatigue or weight loss - it's dark patches in their mouth, including on their gums.
Addison's disease occurs when your adrenal glands don't produce enough cortisol and aldosterone. In response, your body ramps up production of ACTH (adrenocorticotropic hormone), which has a side effect of stimulating melanocytes to produce more melanin. This leads to hyperpigmentation in various parts of the body, particularly in areas that are already naturally darker - including the gums, the inside of the cheeks, and the lips.
According to the National Institute of Diabetes and Digestive and Kidney Diseases, oral hyperpigmentation can be an early indicator of adrenal insufficiency.
Red flags that warrant immediate medical attention:
- Sudden appearance of gum darkening you've never had before
- Accompanied by unexplained fatigue, weakness, or weight loss
- Dark patches also appearing on your skin, particularly in skin folds
- Dizziness, low blood pressure, or salt cravings
If you're experiencing any combination of these symptoms along with gum changes, don't wait - schedule an appointment with your physician. Addison's disease is serious but highly treatable once properly diagnosed.
Gum Pigmentation in Children: Should Parents Worry?
If you've noticed dark spots on your child's gums, take a breath. In children, gum pigmentation is almost always physiological rather than pathological.
Children with darker complexions naturally have more melanin throughout their bodies, including in their gums. These pigmented patches are typically present from a young age and remain stable over time. They're as normal as freckles or birthmarks.
When pediatric dentists get concerned:
- If the pigmentation appears suddenly and wasn't there before
- If the dark areas are spreading rapidly
- If there are other symptoms like pain, swelling, or bleeding
- If the child is on medications that could cause pigmentation
Pediatric dentists will monitor pigmentation during routine check-ups, but they rarely recommend treatment unless there's a cosmetic concern that's affecting the child's self-esteem as they get older, or if there's suspicion of an underlying condition.
The bottom line: if your child has had dark gums since they were young and they're otherwise healthy, it's almost certainly just their natural coloring. But as with anything, if you're concerned, a conversation with your pediatric dentist can provide reassurance.
When You Should See a Doctor or Dentist
Not all gum discoloration requires professional intervention, but some situations definitely do. Here's your guide to knowing when it's time to make that appointment:
Schedule a dental visit if:
- You notice new dark spots that weren't there before
- The pigmentation is changing in size, shape, or color
- You have pain, swelling, or bleeding in the affected areas
- You're concerned about the appearance and want to discuss cosmetic options
Seek medical evaluation promptly if:
- Gum darkening appears suddenly alongside fatigue, weakness, or unexplained weight loss
- You've started a new medication and developed gum discoloration
- You have dark patches on your gums AND on your skin
- You have a family history of genetic conditions that affect pigmentation
- You're experiencing other systemic symptoms like dizziness, nausea, or digestive issues
When in doubt, it's always better to have a professional take a look. A simple visual examination can often distinguish between benign pigmentation and something that needs further investigation.

Professional Treatment Options: What Actually Works
If you've determined your gum hyperpigmentation is purely cosmetic and you'd like to address it, you have several evidence-based options available.
Laser Depigmentation: The Gold Standard
Laser treatment has become the preferred method for removing gum pigmentation in most dental practices. Here's why dentists and patients love it:
The benefits:
- Minimal bleeding during the procedure
- Precise control over the treatment area
- Faster healing compared to surgical methods
- Lower risk of pigmentation returning
- Can often be done in a single visit
The procedure involves using a specialized dental laser to remove the pigmented layer of gum tissue. The tissue underneath is typically a healthy pink color. Most patients experience only mild discomfort during the procedure, which is usually managed with local anesthesia.
Recovery: Most people heal within one to two weeks, with the gums gradually returning to their normal texture and color.
Surgical Scraping and Bur Abrasion
Before lasers became widely available, surgical methods were the standard approach. These techniques are still used and can be effective, though they're generally more invasive than laser treatment.
Surgical scraping involves using a scalpel to remove the pigmented layer of gum tissue. Bur abrasion uses a rotary instrument (similar to what's used for drilling teeth) to abrade away the pigmented tissue.
Both methods work, but they typically involve:
- More bleeding during the procedure
- Longer recovery time
- Slightly higher risk of the pigmentation returning
- Greater post-operative discomfort
That said, in experienced hands, these techniques can produce excellent results and are often more affordable than laser treatment.
Cryosurgery and Chemical Treatments
Cryosurgery uses extreme cold to destroy the pigmented tissue. While less common than other methods, it can be effective for certain cases.
Chemical depigmentation using agents like phenol or alcohol is another option, though it's fallen somewhat out of favor due to concerns about tissue damage and inconsistent results.
These methods are generally reserved for specific situations or when other treatments aren't suitable.
What to Expect: Post-Treatment Care
Regardless of which treatment you choose, proper aftercare is crucial for optimal healing and preventing pigmentation from returning:
- Maintain excellent oral hygiene (but be gentle around treated areas)
- Avoid spicy, acidic, or very hot foods during the healing period
- Don't smoke (this is crucial - smoking can cause pigmentation to return)
- Follow your dentist's specific instructions regarding pain management and activity restrictions
- Attend all follow-up appointments to monitor healing
Home Remedies and Prevention: What You Can Do
Let's be honest: there's no miracle home remedy that will remove gum pigmentation. The internet is full of claims about natural treatments, but the clinical evidence supporting these approaches is extremely limited.
That said, there are absolutely things you can do at home to maintain healthy gums and potentially prevent pigmentation from worsening:
Focus on Prevention
Quit smoking or never start. This is hands-down the most important thing you can do. Smoking not only causes pigmentation but also dramatically increases your risk of gum disease, oral cancer, and a host of other health problems. If you need help quitting, talk to your doctor about cessation programs and medications that can help.
Practice excellent oral hygiene. While brushing and flossing won't remove existing pigmentation, they reduce inflammation that can make discoloration more noticeable. Healthy gums are also less likely to develop additional pigmentation.
- Brush twice daily with a soft-bristled toothbrush
- Floss at least once a day
- Consider using an antimicrobial mouthwash
- Schedule regular dental cleanings every six months
Be mindful of your diet. Certain foods and beverages can stain teeth and may also affect gum tissue over time. While the connection to gum pigmentation isn't as direct as with tooth staining, maintaining overall oral health is always beneficial.
Review your medications. If you're on medications known to cause pigmentation and you're concerned about gum discoloration, talk to your doctor. Sometimes alternative medications are available, though you should never stop taking prescribed medications without medical guidance.
What About Natural Remedies?
You'll find claims online about various natural substances helping with gum pigmentation:
- Aloe vera
- Green tea extract
- Turmeric
- Oil pulling with coconut oil
- Vitamin C treatments
The reality: These substances may promote overall gum health, and some have anti-inflammatory properties, but there's no solid clinical evidence that they reliably remove melanin-based pigmentation from gum tissue. They're generally safe to try and may improve gum health in other ways, but don't expect dramatic changes in pigmentation.
If you enjoy using natural remedies as part of your oral care routine, go ahead - just maintain realistic expectations and don't delay seeking professional treatment if you have concerns.
The Financial Reality: What Does Treatment Cost?
One of the most common questions people have about gum depigmentation is: "Can I afford it?"
The answer, frustratingly, is: it depends. Treatment costs vary significantly based on several factors:
- Geographic location: Procedures in major metropolitan areas typically cost more than in smaller cities
- The extent of pigmentation: Larger areas require more time and resources to treat
- The method used: Laser treatments are usually more expensive than surgical methods
- Your provider: Specialists may charge more than general dentists
Typical Price Ranges
Laser depigmentation: $200 to $1,500 per session
- Most cases require only one session
- More extensive pigmentation may need additional treatments
Surgical scraping or bur abrasion: $300 to $1,000
- Usually performed in a single appointment
- May cost less than laser but with longer recovery
Cryosurgery or chemical treatments: $200 to $800
- Less commonly performed
- Pricing varies significantly by provider
Insurance Coverage: The Bad News
Here's the challenging part: gum depigmentation is almost universally considered a cosmetic procedure by insurance companies. This means it's typically not covered by dental insurance plans.
The exception: If gum discoloration is documented as being caused by a systemic medical condition (like Addison's disease) or as a side effect of medical treatment, there may be some coverage available. You'll need clear documentation from your physician and dentist, and you may need to appeal initial denials.
Making Treatment More Affordable
If cost is a concern but you're committed to addressing your gum pigmentation:
- Dental schools: Teaching institutions often offer procedures at significantly reduced rates, performed by dental students under close supervision
- Payment plans: Many dental offices offer financing options or payment plans to spread out costs
- Health savings accounts (HSAs) or flexible spending accounts (FSAs): If you have these, cosmetic dental procedures may be eligible expenses
- Shop around: Get quotes from multiple providers, but remember that the cheapest option isn't always the best value
Your Questions Answered: FAQ
How do you remove pigmentation from gums?
The most effective, evidence-based methods are professional treatments: laser depigmentation and surgical scraping. These procedures remove the pigmented layer of gum tissue, revealing healthier-colored tissue beneath. Home remedies and over-the-counter products don't reliably remove melanin-based gum pigmentation.
How do you treat hyperpigmentation in the gums?
Treatment depends on the cause. If the pigmentation is due to smoking or medications, addressing the underlying cause is the first step. For cosmetic treatment, professional dental procedures like laser therapy or surgical removal are the most effective options. Always consult with a dentist or physician before pursuing treatment.
How do you get rid of gum pigmentation?
Permanently removing gum pigmentation requires professional intervention - typically laser depigmentation or surgical procedures performed by a dentist or periodontist. Additionally, addressing root causes like smoking cessation is crucial, as pigmentation can return if the underlying cause isn't eliminated.
What does discoloration on your gums mean?
Gum discoloration can range from harmless melanin deposits (essentially the oral equivalent of freckles) to signs of systemic disease, medication side effects, or dental issues like amalgam tattoos. The meaning depends on the pattern, color, and whether it's accompanied by other symptoms. Professional evaluation is the only way to determine the cause with certainty.
How to fix dark spots on gums?
For cosmetic improvement, laser depigmentation or surgical procedures are the most effective approaches. For long-term results, combine professional treatment with lifestyle modifications: quit smoking, maintain excellent oral hygiene, and work with your healthcare providers to address any medication-related or systemic causes.
Is xanthan gum good for hyperpigmentation?
No. Xanthan gum is a food additive and thickening agent used in cooking and food manufacturing. It has no relationship to treating skin or gum pigmentation. This confusion likely arises from the word "gum" appearing in both contexts, but they're completely unrelated.
🔗 References
Hedin CA, Larsson A. The ultrastructure of the gingival epithelium in smokers' melanosis. J Periodontal Res. 1984;19(2):177-190. https://pubmed.ncbi.nlm.nih.gov/15974851
National Institute of Diabetes and Digestive and Kidney Diseases. Adrenal Insufficiency & Addison's Disease. https://www.niddk.nih.gov/health-information/endocrine-diseases/adrenal-insufficiency-addisons-disease
Â
Â
A final note: This article is intended for educational purposes and should not replace professional medical or dental advice. If you have concerns about gum discoloration or any aspect of your oral health, please consult with a qualified healthcare provider.
