
Gum Hyperpigmentation: When to Seek Help?
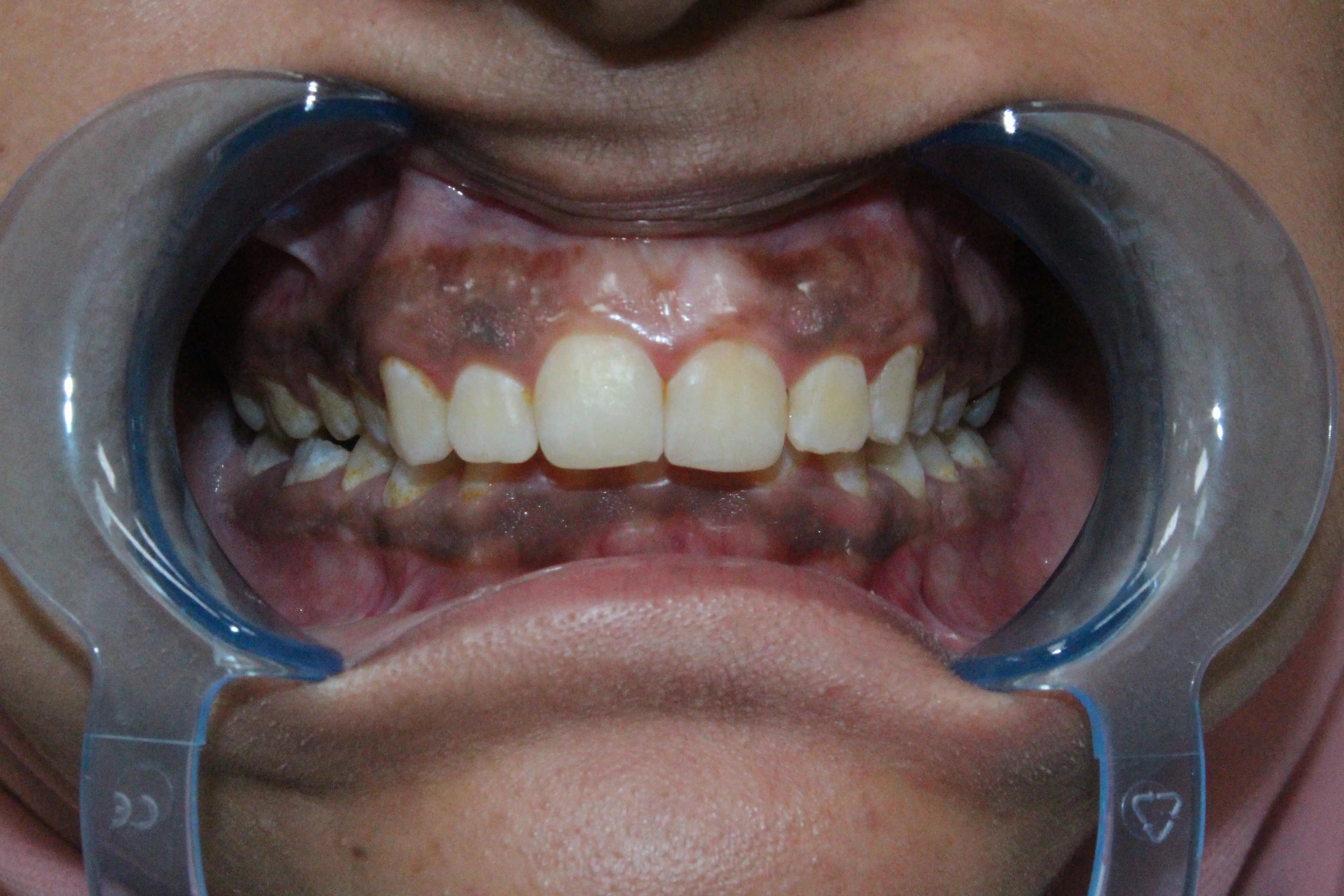
Dark spots on your gums? You're not alone. Gum hyperpigmentation affects millions and is usually harmless—but sometimes signals seri...
Dark spots on your gums? You're not alone. Gum hyperpigmentation affects millions and is usually harmless—but sometimes signals seri...